Mohd Farid

Mohd Farid

Saturday, April 4, 2020

Basic Echocardiography:Transthoracic Echocardiography Windows And Views

Basic Echocardiography


Transthoracic Echocardiography Windows And Views


Parasternal Window


Parasternal Long Axis View



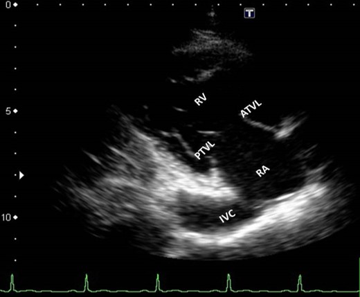
Parasternal Long Axis RV Inflow View



Parasternal Long Axis RV Outflow View



Parasternal Short Axis Mitral Valve Level View



Parasternal Short Axis Papillary Muscle Level View



Parasternal Short Axis Apical Level View



Parasternal Short Axis AO-PA View



Parasternal Short Axis AO Level Zoom View



Right Parasternal View



Apical Window


Apical Four Chamber View



Apical Two Chamber View



Apical Three Chamber View



Apical Five Chamber View



Apical Four Chamber Slanting View



Apical Four Chamber RV Focus View



Subcostal Window


Subcostal Four Chamber View



Subcostal IVC View



Subcostal Abdominal Aorta View



Suprasternal Window


Suprasternal Notch View



Suprasternal Short Axis View



Suprasternal Notch Crab View



No comments:

Post a Comment